


Yoda ๐น๐ฏ๏ธ
Warning: This post is sad and contains potentially disturbing content.
Note: This post is about to get possibly updated during the next days/weeks.
As some of you possibly know - we had a french bulldog "Yoda" (* 30th March 2015; โ 28th January 2021). Today, Thursday 28th of January, we had to euthanize him because of a brain tumor. ๐ญ
A story of blessing in disguise
Wednesday afternoon he started to be apathetic. First we thought he's just sleepy as we had trained the day before. At 22:00 he should get his anti-epileptic medicine. But they got stuck in his throat - I pulled out everything so he was able to breathe again. Now we were alarmed as it absolutely never happened before.
In Hamburg, Germany we have a vet emergency service. The first blessing was that our vet had emergency service during this night. So we didn't have to explain everything and she knows Yoda and his history. We also know that she doesn't do it for the money and is always honest. After a quick explanation she said that we should immediately visit the veterinary clinic as it seems to be something neurological.
We called our best friends and luckily they were on vacation so he was able to drive us to the clinic. He really dropped everything the moment we called and jump straight into his car. 20 minutes later he arrived and another 20 minutes later we arrived at the clinic. One other dog was in the queue so we only had to wait ~45 minutes. The whole drive and wait Yoda was still apathetic and ignored all of us and everything.
After some tests by the vet and a blood check they recommended to put Yoda on the station and monitor him the whole night. Early the next day the neurologist is available and will check Yoda more intensive. As we've seen that he got worse during the last hours we agreed without question it. The blessing was that one of the nurses knows my girlfriend and promised to don't leave Yoda alone. She sent us photos and status updates so we didn't have to wait for the official report.
The drive home and the whole night was horrible. Leaving him back and "alone" without really knowing something was hard. We prayed for Yoda the whole night but also know that he's really sick.
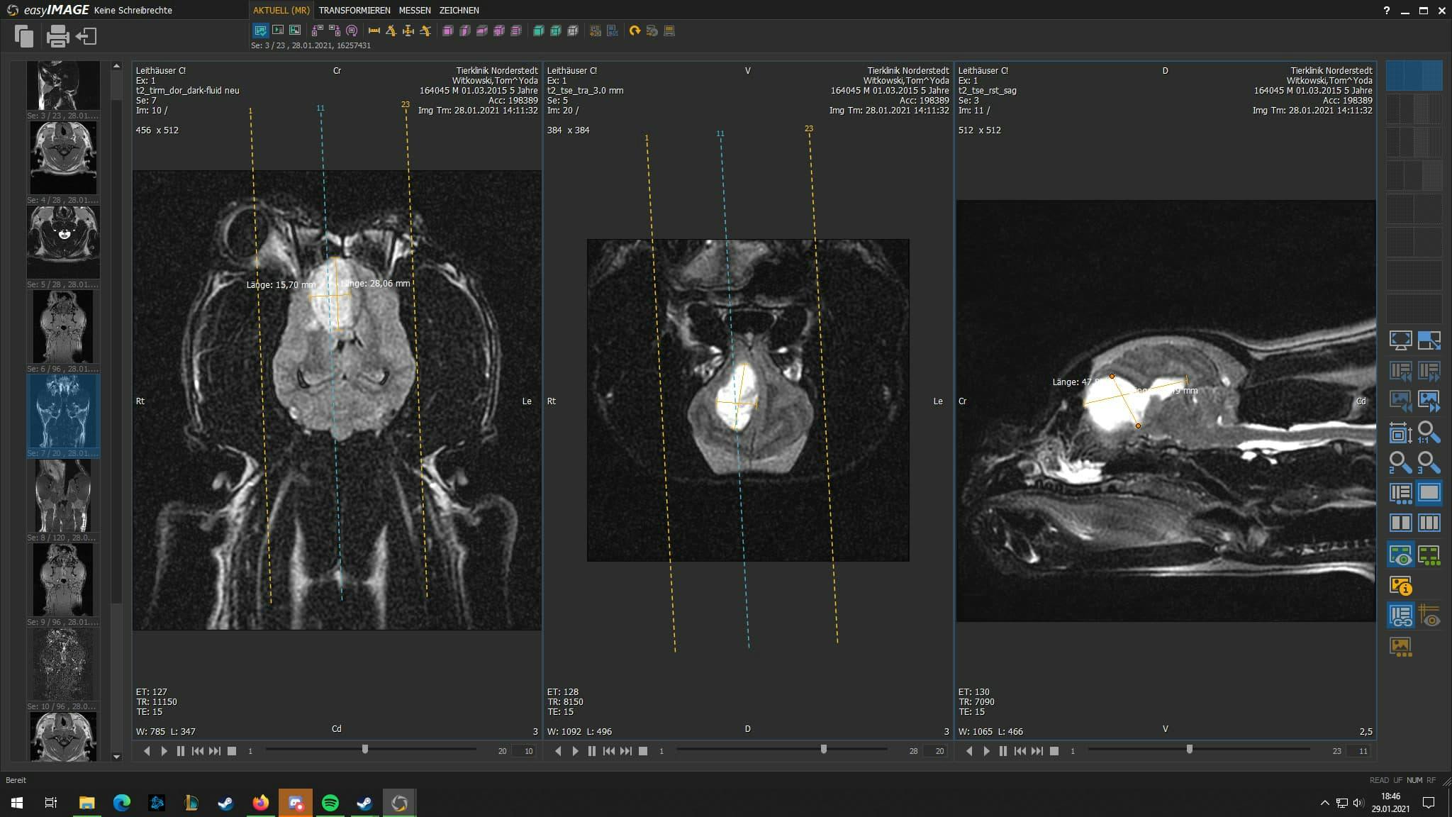
The next morning we waited for the call from the neurologist and it was like an eternity. At 11:30 the clinic called and said that they need to do an MRT for a real diagnosis. It could be meningitis or a brain tumor. Another endless wait later at 15:00 the MRT was done. Result: very bad - a large brain tumor and chance of healing ~0.
We immediately dropped everything. I packed his favorite cuddly toy ๐งธ, the camera, a block of paper and children's paint (we have because my girlfriend is a pet photographer). Our friends picked us up and some time later we arrived at the clinic. The drive was hard, we already cried a lot - describing our feelings/emotions is nearly impossible.

At the clinic the neurologist showed us the MRT images - it was a quarter of his brain. ๐ฑ After this Yoda walked into the room like nothing happened - a real hero. The neurologist was surprised. But he hasn't recognized me or my girlfriend - just walked rounds in the room. The neurologist left us alone with Yoda. We made some last paw prints ๐พ, photos and videos, cuddled a lot and couldn't hold back our tears.

After some time we called the vet back. There is never the right moment - but everything more would only be selfish and we had the chance to say goodbye. The vet was friendly, understanding, sympathetic hasn't rushed anything and gave us the time we needed. Right before the vet put Yoda down I lost everything and she stopped. She ensured twice that it's okay now.
๐๏ธ rest in peace our beloved Yoda ๐
First evening & night
Something we did every evening was a last long walk around midnight. We did a very last walk full of tears this night. ๐ญ Every few meters we dropped his favorite treats. ๐ฌ Put some treats on his "agility" objects like park banks and bicycle stands. This walk was one of the hardest moments ever - so many memories. ๐ญ
The day after
One of the first things we did was collecting all of Yoda's things and empty his kennel. After this we put a candle in his kennel which burns for three consecutive days already.

The worst moment this day was his half started food can in the fridge. I totally lost myself, cried and tears poured out of my eyes. Our apartment felt just empty like never before.
Our cats were the best and somehow they were instructed by Yoda. They never left us alone, did things they never did before but are super typical for Yoda. They crawled under our duvet, put their heads on our feet โฆ At all everything is "easier" as we have each other and our cats. Don't know how hard it would be if I would be alone with everything. ๐คฏ
Memories
I want to share some memories with you so you get to know Yoda a bit.
Criminal detective
On our night walks Yoda was like a criminal detective - police support dog. During the last years we've spotted, followed and reported to police several criminals. Most times police was able to arrest them immediately.
Our first spotted crime were two boys searching for bikes with a bolt cutter who we followed until police take on. So far we know they were arrested minutes later.
Most criminals were car thieves - personal opinion: very stupid thieves.^^ In total we spotted car thieves three times - three of them were arrested. They broke car windows to get into it and try to steal things inside the car. One time we followed them until police arrived and showed direction - arrested. The second time we haven't seen the thieves but Yoda has sniffed out a bag with stolen things in the bushes. Third time was the most action loaded one - we observed two thieves still searching the car and continuously reported to police, after some minutes a K9 unit arrived and arrested the two with support of her dog.
The last one was dangerous as we spotted people throwing fireworks in waste containers which started to burn only a few meters away from a house. We decided to don't follow and only call police & firefighters as it could get super dangerous if they throw one of the fireworks on Yoda.
Learnings
For sure we learned a lot with Yoda. All the time we had together, all the training, experiences and problems we've solved. But some are more general and outstanding and apply to us all somehow.
Don't postpone anything
The moment we get adult we forget to play, have fun and focus the nice things. Our society values work and as a developer we tend to work longer, sit on the couch and solve problems while our loved ones are beside us, work on side projects in our free time and forget about the really important things. We postpone activities with our family as we have to fix only this little bug or solve a problem. Let me tell you, no code, no project and no bug is important enough to forget your family and friends or postpone activities with them.
Sometimes we hide behind excuses as it's not worth the money or wait for the right moment (better weather ...). Let me tell you - the right moment is when you have the idea and it's possible. If there comes another/better moment you can use it too. Death isn't the only thing that can prevent postponed plans - a company could quit, a worldwide pandemic can enforce even more postpone and whatever else.
The same counts for pets - if they have a toy they love to play with, let them do. They destroy it? Fine, you can buy a new one. They love to run through the snow? Use every single minute you have to play with them in the snow. If you get a cold there are doctors.
I hope you get my point, only because you don't get a paycheck by your family, friends and pets they aren't less important. In opposite - they are even more important if not the most important you have.
Moments, memories, photos
As my girlfriend is a pet photographer we have some beautiful photos of Yoda and also a ton of smartphone photos and videos. But a lot isn't enough! Do you have a video of your pet eating his food? Or a simple walk? Just turn on the camera a also record the "normal" moments. You will forget faster than you thought how your pet slurps or walks. You have a tripod and camera? Cool, put it somewhere in your apartment and record a video.
I know the fear of the camera the best. For memories it's not important how you look - if you smile like a model or psycho. But these photos are so important - not only of your plate - more important of the people you eat with. While you sit on the couch and watch a movie, take your phone and capture a quick selfie. These photos don't have to be published anywhere but they have a big value. Your life isn't only the special moments like parties, travel and holidays. The bigger part of your life is the normal things.
And on top of all the self-made photos I can only recommend you to invest in a professional photographer from time to time. You don't need hundreds of them - but they are perfect to print and frame, screensaver or similar high-quality products.
Pet health insurance
With Yoda we weren't able to get health insurance but had two big investments - we did without any question! But health insurance would be a lifesaver in some cases. They aren't cheap - but you don't want to decide because of the price. Diagnosis and treatment can get very expensive pretty fast - a lot of times you will have to pay emergency fees on top as we all know that pets always get sick on Saturday night.
You end up with a four-digit invoice only for diagnosis pretty fast. Health insurance gives you the same natural decision to do everything possible/needed for your pet as for yourself (assume you live in a country with health insurance - the other countries: get one).
Value of real friends
The past with Yoda already showed us several times that we have real friends and can count on them. But these two days were the seal on one of them. It's not of course that someone drops everything at 22:15 jumps right into his car and spends/waits around three hours in total in the night. Also that they do the same (different time) one day later without asking a single question or requirement. Just do it as it's needed now and a friend needs help. These are the moments you know that you have a friend for the rest of your life.
I can only recommend all of you to be the same if you expect others to be like this to you.
Final words
It took me three days to write this post - had to find proper words and breaks because of tears. But I think it's the right thing for me.
- I don't want to forget Yoda and persist him in my blog
- I want you to know me as a person and not only my dev content
- It helps me to talk/write about this to process it
- I'm fine with being vulnerable
- I want to make it more natural to talk about your problems and fears the same as we do with our good moments
I don't do it to get pity as I don't get any value out of it - for me the value is in writing this post.
I also participate in Movember and think that it's important that I share my very own problems to make it more natural to talk about men's health.